Lung Cancer Detection System - Medical Report
Report ID: B10209934E50 | Patient: Ram | Date: 2025-08-07 04:25:14
Medical Report
Report ID: B10209934E50
Patient Name:
Ram
Analysis Date:
2025-08-07 04:25:14
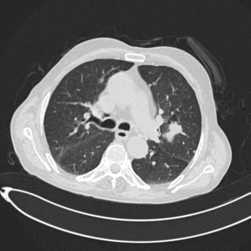
Analyzed Image
c.jpg
Uploaded: 2025-08-07 04:25:14Best Model Result
Malignant
Confidence: 74.4%
Model: EnhancedCNN
Ensemble Prediction
Malignant
Confidence: 50.1%
Average of all modelsModel Predictions Comparison
ResNet50
Malignant
Bengin:
28.0%
Malignant:
45.1%
Normal:
27.0%
45.1%
ConfidenceDenseNet121
Bengin
Bengin:
49.0%
Malignant:
30.8%
Normal:
20.2%
49.0%
ConfidenceEnhancedCNN
Malignant
Bengin:
10.4%
Malignant:
74.4%
Normal:
15.2%